
Do penguins have knees?

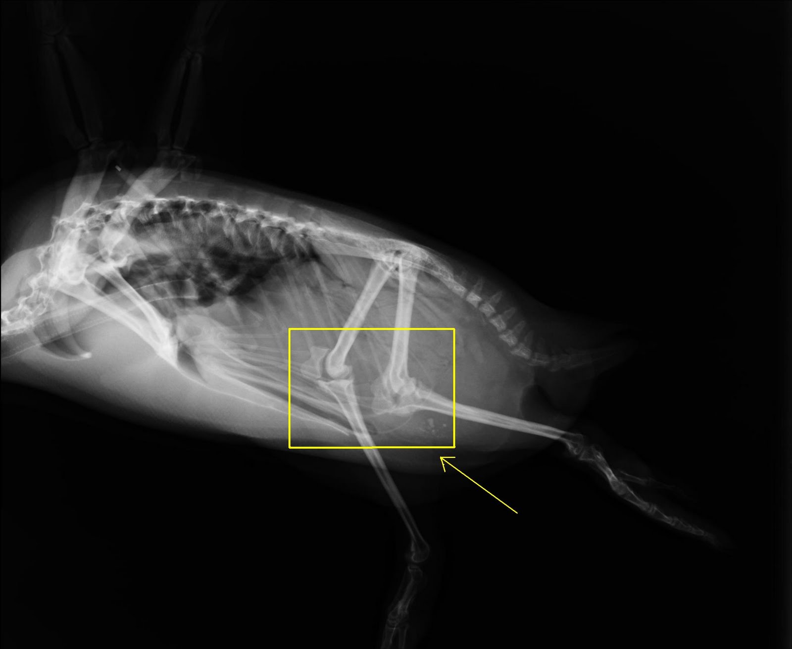
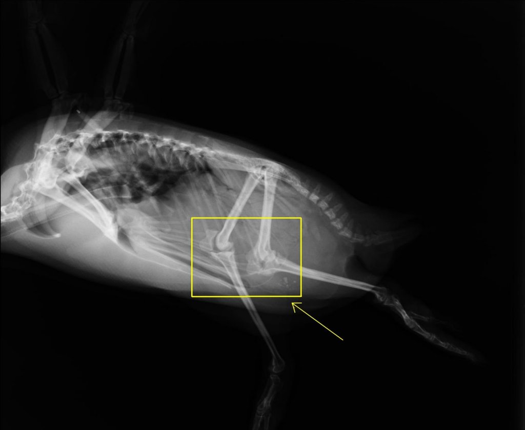
In short, the answer is yes, they do. Actually, a penguin’s leg is not much different from our own. They have a femur, a tibia, a fibula, and (of course) knees. Penguins also actually have much longer legs than they appear too. The upper leg is covered by feathers because, well, if you lived in the Arctic, I’m pretty sure you’d want your thighs covered as well.

Image Credit: Unknown

Image Credit: Unknown

Image Credit: Unknown
Images taken from The Penguin Blog at the New England Aquarium