
Type 1 Diabetes
By the year 2050, it’s anticipated that in the U.S. alone, 5 million people will be diagnosed with Type 1 Diabetes (T1D). This autoimmune disease, which affects children and adults, is currently unable to be prevented or cured. In order to manage T1D, people with the condition must constantly monitor their blood glucose levels, and manage those levels through insulin injection, activity, and diet in order to avoid life-threatening complications.
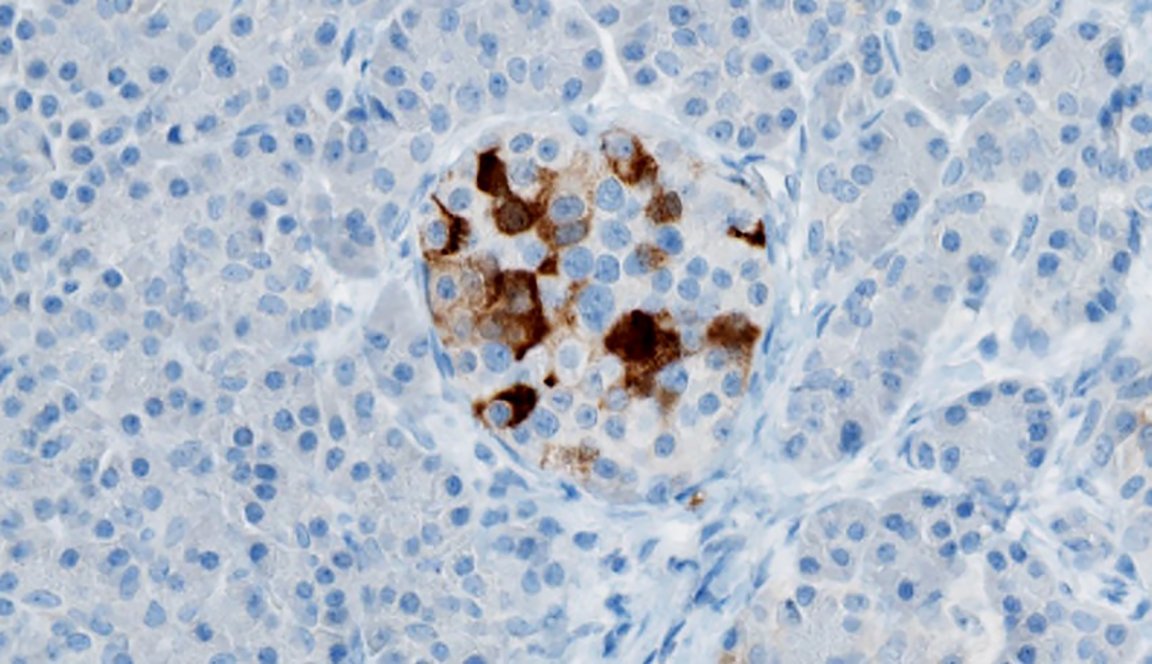
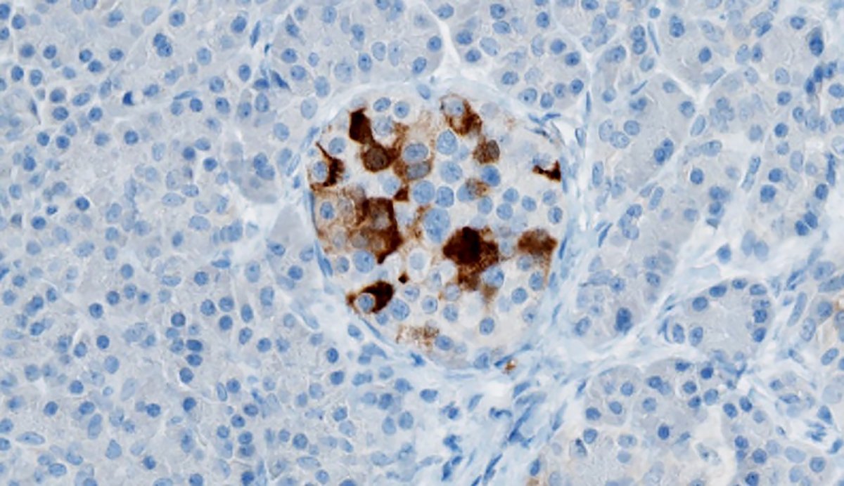
It has been suggested, for quite some time now, that T1D could be related to viral infection, which has lead some to propose the possibility of creating a vaccine for the disease. In Finland, researchers have been exploring this connection and potential vaccine for approximately 25 years. After such a laborious scientific journey, they believe they’ve found the viral group that can trigger T1D. The hard work seems to have paid off — as the team has created a prototype vaccine which will move into human clinical trials by 2018.

The Future of T1D
While it’s unlikely that the vaccine would become an immediate cure-all T1D, if the trials prove successful, it will dramatically shift the future of the disease. Up until this point, patients with T1D have been required to vigilantly self-manage. Complications of the disease, which can result when it goes undiagnosed or is ineffectively managed, can range from heart attack to stroke, amputation, kidney failure, and even blindness.
The threat of these complications constantly hangs over the heads of those with T1D. Unfortunately, as the team notes, this vaccine would not be a cure for T1D, but if it proves successful in preventing the onset of the condition, it could change the lives of millions of people around the world.