
Understanding the Link
Humans have 23 pairs of chromosomes in every cell in their bodies, except for their reproductive cells or gamete cells (sperm or egg), which contain 23 chromosomes. The reason why chromosomes come in pairs is that one pair comes from the egg, and the other from the sperm. So when gametes fuse with each other, they end up as a single cell having two copies of each chromosome.
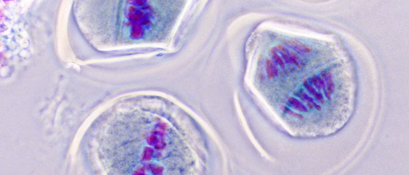
Gamete cells are produced by a process called meiosis — a type of cell division with two rounds of nuclear division, to make sure that the number of chromosomes in the parent cell is halved. Sometimes, though, errors occur during cell division, which may result to offsprings having abnormal number of chromosomes — a phenomenon called aneuploidy.
Aneuploidy causes Down Syndrome — the most common genetic condition, Patau Syndrome, and other genetic disorders. It is also the leading cause of miscarriage.

Playing a Pivotal Role
The research team, led by Dr. Prakash Arumugam from the National University of Singapore, noted how the process of meiosis can affect chromosomal irregularities: “Understanding how meiosis is regulated is of great importance to understanding the causes of aneuploidy and genetic disorders in human,” said Dr Gary Kerr and the team, writing in the journal Scientific Reports.
The researchers have discovered a particular enzyme which plays an essential role in chromosome segregation in meiosis. They identified this enzyme as PP2ACdc55, which is involved in various cellular processes. It was also shown from the research team’s previous findings that PP2ACdc55 plays a vital role in controlling the timing of meiosis, thus preventing the cells from prematurely exiting phases of cell division.
The scientists tracked the enzyme on yeast models using fluorescent tagging, and analyzed the resulting mutant yeast strains, characterized the mutations and determined the role of the Cdc55 gene. Their results suggest that the gene might have a role in meiotic chromosome segregation. This is, without a doubt, a step forward, but we still don’t know what causes the process to go wrong.