Old Drug, New Method
Researchers from MIT, Brigham, and Women’s Hospital have recently tested a new way to stimulate fat loss through a pair antiobesity drugs. In this novel method, they made use of nanoparticles to deliver them to specific areas of the body.
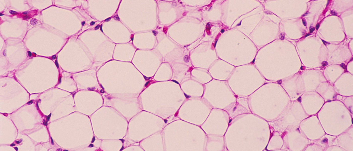
The drugs transform white adipose tissue (which consists of fat-storing cells) to brown ones (which burn fat) and then promote a process called angiogenesis, where blood vessels grow in the fatty tissue and speed up the previous transformation process.
The study was done on obese mice, which, after 25 days, had lost 10% of their body weight, and had become less likely to be affected by diabetes. Best of it all? They did not show signs of adverse effects.
That said, these chemicals are not FDA approved to treat obesity, as clinical trials in humans have yet to take place.

Target Locked
The researchers assert that none of these drugs are new or recently developed. Indeed, the real magic here isn’t in the drugs, but in the technology behind the drugs’ delivery: The nanoparticles.
These molecules are made up primarily of PLGA, a polymer widely used in drug delivery in medicine. On its outer shell is another polymer called PEG, designed to specifically target the proteins in the blood vessels that surround the adipose tissues, pretty much just like guided missiles.
The whole process becomes more and more effective as the previously mentioned process, angiogenesis, increases the growth of these targeted blood vessels.
However, angiogenesis can be very harmful, more so when it is made to happen all over the body. Nonetheless, this method greatly reduces that risk since only specific areas of the body are affected, and the results showed that the mice aren’t suffering at all.
The only real hurdle behind this method is that currently, the researches had to intravenously inject the substances into the specific areas. Nonetheless, they are already looking into easier ways such as ingesting the molecules.