
Remarkable Improvement
Doctors from Sheffield have revealed a breakthrough in the treatment of Multiple Sclerosis (MS). According to the physicians, administering treatment typically used for cancer patients has the potential to reverse the disability that is caused by the disease.
Notably, these are new findings, so more work needs to be done in order to determine the potential uses of the research; however, the recent advancements are inspiring.
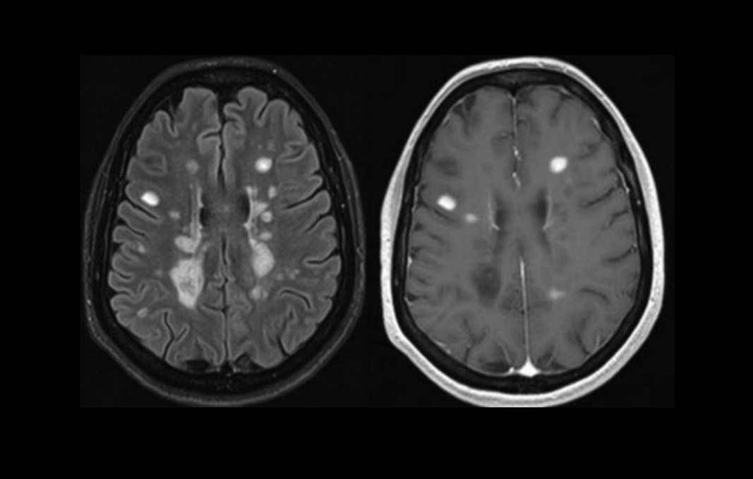
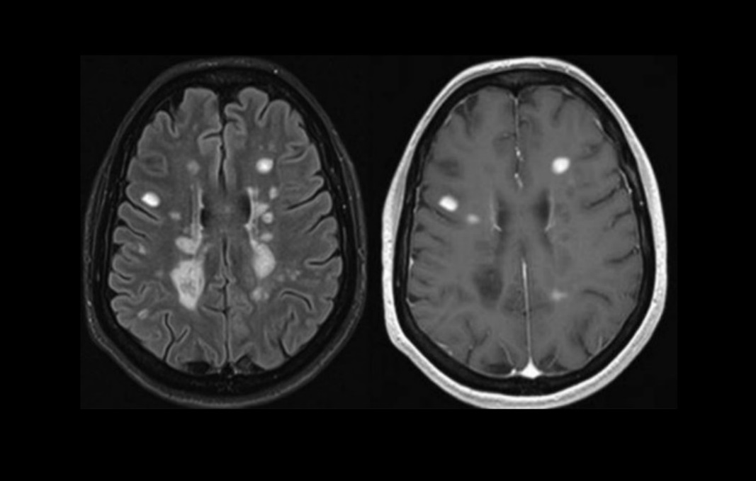
MS is a disease that causes the immune system to attack the lining of the nerves in the brain and spinal cord. The treatment—autologous haematopoietic stem cell transplant (HSCT)—works by destroying the faulty immune system using chemotherapy and is then rebuilt using stem cells harvested from the patient’s own blood.
Essentially, the process reboots the immune system back to a point before it caused MS.
The Royal Hallamshire Hospital, in partnership with hospitals from the US, Sweden and Brazil are part of an international trial (MIST) that seeks to study the long-term benefits of the stem cell treatment.
Thus far, because the treatment involves intensive therapy, patients are warned that there are in fact, side-effects (such as nausea and hair loss) experienced.
Storey’s Story
In the course of the study, nearly 20 patients suffering from MS have gone through this breakthrough treatment. Among them is Steven Storey, who was diagnosed with MS in 2013, whose journey back to health was being documented by BBC .
Prior to diagnosis, Storey was an active, able-bodied athlete. Just a year after, he lost sensation in most of his body and now requires a wheelchair.

“I went from running marathons to needing 24-hour acute care. At one point I couldn’t even hold a spoon and feed myself,” he shares.
Storey was among the handful of MS patients who went through the breakthrough treatment—and within a few days, he was able to move his toes and four months since the procedure, could stand unaided.
Currently, Storey still makes use of a wheelchair, but continues to improve. “It’s been incredible. I was in a dire place, but now I can swim and cycle and I am determined to walk.”
These results, coupled with the more in-depth MIST trials, with results due in the next two years, could determine whether this treatment can become a standard treatment for MS patients.